프랭크 징후(Frank’s sign)는 한쪽 또는 양쪽 귓불에 약 45도 각도로 깊게 파인 사선형 주름으로, 1973년 미국 의사 샌더스 프랭크(Sanders Frank)가 협심증 환자에서 자주 관찰된다는 사실을 처음 보고하면서 알려졌다.
과거에는 단순 노화 현상으로 여겨졌으나, 최근에는 심근경색, 뇌졸중, 혈관성 치매 등 심뇌혈관질환과의 연관성이 제기되며 전신 혈관 상태를 가늠하는 보조적 지표로 주목받고 있다.
하지만 혈관성 질환 환자에서 프랭크 징후가 빈번하게 나타난다는 상관관계만 확인됐을 뿐, 뚜렷한 인과관계나 발생 기전은 아직 증명되지 않았다. 더욱이 프랭크 징후를 식별하는 표준화된 방법이 없고 연구자마다 평가 기준이 제각각이라 동일한 환자라도 평가자에 따라 결과가 달라질 수 있다는 문제가 있었다.
12일 분당서울대병원에 따르면 정신건강의학과 김기웅 교수팀은 세계 최초로 3D 뇌 MRI(자기공명영상)에서 프랭크 징후를 자동으로 탐지하는 AI 모델을 개발하고, 프랭크 징후와 유전성 뇌소혈관 손상 정도 간 연관성을 규명한 연구 결과를 연이어 발표했다.
그간 프랭크 징후 구별 시 연구자가 실제 귀나 2차원 사진을 육안으로 관찰하는 방식에 의존해 주관적 요소가 개입될 수밖에 없었다.
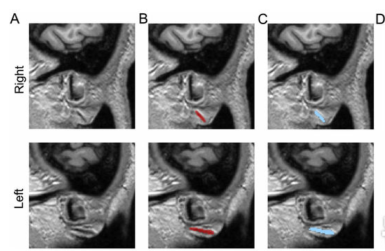
이를 해결하고자 김기웅 교수팀(제1저자 조상만 서울대 융합과학기술대학원 연구원)은 3D 뇌 MRI에 양쪽 귓불을 포함한 얼굴이 함께 촬영된다는 점에 착안, 뇌 MRI에서 추출한 3차원 얼굴 이미지를 활용해 프랭크 징후를 자동으로 탐지하는 AI 모델을 개발했다.
분당서울대병원에서 수집한 400건의 뇌 MRI를 바탕으로 전문가가 수동으로 구분하고 표시한 프랭크 징후를 AI에 학습시켰다. 이후 학습에 사용하지 않은 별도의 분당서울대병원 데이터셋(총 600건)으로 1차 검증, 충남대병원·강원대병원·세브란스병원 다기관 데이터셋(총 460건)으로 2차 검증을 진행했다.
검증 과정에서는 전문가가 수동 표시한 프랭크 징후 영역과 AI가 자동으로 분할한 영역을 비교해 AI의 정확도를 평가했다. 여기서 ‘분할'(segmentation)이란 색칠 공부할 때 특정 부분만 색을 칠하듯이, AI가 귓불 주름을 찾아 표시하는 작업을 의미한다.
그 결과 전문가가 수동으로 표시한 영역과 AI가 자동으로 분할한 영역의 일치 정도를 측정하는 DSC(Dice 유사도 계수, 1에 가까울수록 유사) 값이 두 차례의 검증에서 0.734, 0.714로 나타났다. 이는 AI가 찾아낸 영역이 전문가의 판단과 70% 이상 부합한다는 뜻으로, 의료영상 분야에서 높은 수준으로 인정받는다.
또 프랭크 징후의 유무를 얼마나 정확히 구분하는지 나타내는 AUC(분류 성능, 1에 가까울수록 우수) 값은 모두 0.9 이상을 기록, AI 모델이 다양한 임상 현장에서 안정적으로 작동할 수 있음이 입증됐다.
김기웅 교수팀(제1저자 조성만 서울대 융합과학기술대학원 연구원, 공동 교신저자 박준혁 제주대병원 교수)은 앞선 연구에서 개발한 AI 모델을 활용해 유전자 돌연변이로 생기는 뇌소혈관질환인 카다실(CADASIL)에서 프랭크 징후가 혈관 손상 정도와 밀접한 연관성이 있음을 규명했다.
기존 연구들은 노화, 고혈압 등 여러 위험인자가 복합적으로 작용하는 일반 혈관성 질환을 다뤄 ‘혈관성 질환 환자에서 프랭크 징후가 흔하다’는 연관성을 밝히는 데 그쳤으며, 프랭크 징후가 실제 혈관 손상 정도를 반영하는지는 확인하지 못했다.
이에 연구팀은 뇌소혈관질환 중 발병 원인이 단일 유전자 변이로 비교적 명확한 카다실 환자를 대상으로 프랭크 징후와 뇌백질변성(WMH) 사이의 연관성을 분석했다. 카다실은 뇌 중심부를 둘러싼 부위가 손상돼 하얗게 변하는 뇌백질변성이 특징적으로 나타나며, 손상이 누적돼 부피가 클수록 뇌졸중 및 치매 위험이 증가한다.
유전자 검사로 확진된 카다실 환자(81명)와 연령·성별을 일치시킨 일반인(54명)에 대해 자체 개발한 AI 모델로 식별한 프랭크 징후 위험을 대조하고, 더 나아가 카다실 환자군 내에서 프랭크 징후와 뇌백질변성 부피 간 상관관계를 살폈다.
분석 결과, 카다실 환자군의 프랭크 징후 발생률은 66.7%로 일반인(42.6%)보다 유의하게 높았으며, 연령 등 다른 요인을 통제한 뒤에도 카다실 환자는 일반인에 비해 프랭크 징후가 있을 확률이 4.2배로 확인됐다. 또 카다실 환자 중 프랭크 징후가 있는 그룹은 없는 그룹 대비 뇌백질변성 부피가 약 1.7배 컸다.
주목할 부분은 카다실 환자군을 뇌백질변성 부피에 따라 하위, 중위, 상위 세 그룹으로 나눴을 때, 프랭크 징후 발생률이 37.0%, 66.7%, 74.1%로 비례적으로 증가했다는 점이다. 이는 프랭크 징후가 카다실의 중증도와 관련이 깊음을 뒷받침하는 증거가 된다.
김기웅 교수(교신저자)는 “이번 연구를 통해 논란을 거듭해 온 프랭크 징후가 단순 노화 지표가 아니라 유전성 뇌소혈관 손상의 정도를 객관적으로 반영한다는 과학적 근거를 제시했다”며 “프랭크 징후만으로 질환을 진단할 수는 없지만, 다른 혈관성 질환 위험인자가 있다면 귓불 주름이 추가적인 신호가 될 수 있으므로 전문의 상담을 받아보는 것이 좋다”고 전했다.
이번 연구결과는 국제학술지 사이언티픽 리포츠(Scientific Reports), 임상의학저널(Journal of Clinical Medicine)에 각각 게재됐다.



